Preventive Dentistry – Restoration & Filling
PREVENTIVE DENTISTRY :-

It is a set of practice that help keep your teeth and gums healthy and prevent dental disease.
It can help you to avoid tooth decay, gum disease, enamel wear and other dental issues. It can also help you keep your teeth lifelong.
For that you visit your dentist at regular intervels determined by your dentist. You should also teach your children proper oral hygine at an early age.

Oral hygine :-
Brushing and flossing your teeth regularly and eating healthy food.
Dental visit :-
Seeing your dentist for regular checkups and cleaning.
Fluoride :-
Adding fluoride to your diet through fortified food and beverages, fluoride tooth pests or prescreption suppliments.

Fluoride application in child :-
It canbe done in a varity of way, including gel and varnish to sterngthen tooth enamel and prevent tooth decay.

Fluoride gel :-
A dental professional can apply it with the help of a tray and ask the child to bitedown tha fluoride tray for about 4 minutes. It is not recommended for the children under 6 yers of age because of the risk of toxicity if too much is swallowed.
Fluoride varnish :-
It canbe applied with the help of a small brush onto the teeth. The varnish hardens when it comes into contact with saliva. It’s sticky but doesnot hurt.
After this process following advice shouldbe maintained,
Don’t eat or drink for atlest 2 hours.
Don’t brush your teeth onthe day of application.
Eat soft and non abrasive diet for the rest of the day.
It canbe applied to the child who are on high risk of dental caries. The frequency of applications are at 3 months, 6 months and 12 months of age.

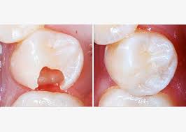
PIT FISSURE SEALANTS :-
It is a protective layer that a dental profession applies to the pits and fissures of the teeth to prevent tooth decay.
They are typically applied to the occlusal surface of molars and premolars, which have deep grooves and fissures that are hard to clean. After the procedure periodical check-up is necessary.
DENTAL PASTE :-
It is a past or gel that helps to clean and maintain your teeth and gums. It’s used with the help of a tooth brush to remove plaque and food particles and to help prevent tooth decay and gum disease.
It contains following ingradiants,
Abrasives : Help to remove plaque and stains.
Fluorides : Strangthens tooth enamel and prevent tooth decay.
Desensitizing agents : Reduce tooth sensitivity.
Anti-cavity ingredients : Help to prevent cavities.
Flavoring agents : Freshes breath and give tooth past its minty scent.
Humactant : Prevent tooth pest from drying out.
Thickening agent : It help to stabilize the past.
Detergent : It creat a foaming action that help to spread the past and clean teeth.
HYPERSENSITIVITY TOOTH PAST : –
It is also known as sensative tooth past. It contains following ingredients,
Occlusal ingredients : It block open dentinal tubles to prevent stimulation of the fluid within.
Desensitizing ingredient : It depolarize the nerve to interferewith the transmission of pain signal.
Potassium nitrate : It work as a nerve calming agent to prevent the nerves from sending pain signal to the brain.
Other ingradiants are
Strontium acetate, Arginie, Calcium carbonate, Calcium sodium phosphosilicate and fluorids.

ORAL PROPHYLAXIS : –
It is a dental procedure that involves a thorough examination of your mouth teeth, along with a cleaning to remove plaque, tartar and other buildup.
It incluide examination, cleaning and polishing of teeth.
It help to reattatchment the gum which lost earlier days from tooth.
Scaling is a part of gum treatment.
TYPES OF TOOTH BRUSH : –
There are several type of tooth brush, which incluids,
Manual tooth brush : Most common type of tooth brush.
Electrie tooth brush : A battery-powered brush that oscillates, rotate or vibrates to clean teeth.
Interdental brush : Cleans the areas between teeth, including under dental bridges and prosthetic units.
ULTRASONIC TOOTH BRUSH : A manual tooth brush with a transducer that converts energy into ultrasonic vibrations to destroy bacteria and remove stains.
BRISTEL TYPE : –
Based onthe type of bristel of tooth brush, it canbe 3 types, there are soft, medium and hard. Most of the dentist recommend soft bristel tooth brush to the patient. Hard-bristel tooth brush can erode the enamel of tooth but it is helpful to remove hard stain from tooth surface.
BRUSH HEAD SIZE :-
Smaller head tooth brush is recommend for better cleaning of teeth and mouth.
BRISTLE PATTERN :-
Shape of the bristel also play an important role to maintain good oral health. Straight bristel can damage gum and increase the risk of oral injury.
BRUSHING TECHNIQUE :-
Place the bristle of tooth brush at a 45-degree angle to the gums, pointing to the chewing surfac of teeth. Gently vibrate the brush for 15 – 20 count using short, circular stroke or small back and forth motion to the enamel surface.
TONGUE CLEANER :-
It is an oral hygine device, designed to clean the uppet surface of the tongue.
It is most inexpensive, small, easy to use and durable.
DENTAL FLOSS :-
It is a cord of thin filamants, typically made of nylon or silk, used in interdental cleaning to remove food and dental plaque from between teeth.
Regular use of it can prevent gingivitis.
Type of floss :- It canbe following types,
Waxed,
Unwaxed,
Monofilamant,
Multyfilament.
Most commonly used is waxed and monofilament floss.
INTERDENTAL BRUSH :-
It is a small, handheld tool use to clean between teeth and around dental appliances.
It canbe used 1 or 2 times a day after meals.
MOUTH WASH :-
It is a liquid used to clean and freshen the mouth and maintain oral health.
It can neutralized the bad breath by killing of bacteria and maintain oral hygine.
It also had antiseptic, analgesic, anti-inflammatory and anti-fungal properties.
Chlorohexidine gluconate is the main ingradient of it. Long turm use of it may resulting tooth stain …
