Dental Implant
DENTAL IMPLANT

Dental Implant is a latest permanent replacement solution. If you have missing, broken teeth or severely decayed teeth, and you are in relatively good overall health dental implant is suggested. Schedule a consultation with our Dentist / surgeon to assess whether you have adequate bone support and healthy gums that will support Implant.
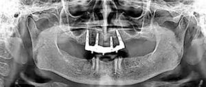
Compare to bridge and dentures work, latest implants has many advantages. Implants are made with titanium or zirconium as joint replacement metal. With proper surgical technique, implant success rates exceed 95%.
Dental Implants are surgical grade root devices that support permanent tooth prosthetics. A crown is mounted atop the implant for a long –lasting and natural looking smile, also implants help prevent bone atrophy in the jaw.

BONE GRAFTING
When a tooth is lost and plan to replace it with a dental implant, many times ‘bone grafting’ will be recommended for a stable foundation for that implant Called as preservation graft or socket graft.
Preservation of bone volume and architecture or shape is crucial for future dental implant stability and esthetics.
After an extraction there is a hole left in the jaw bone that is surrounded by tooth supporting bone. Body begins to absorb this bone if tooth is not replaced by an implant.
If the post extraction socket or whole is much larger than the implant or there is dental infection, a bone graft is needed to fill the space prior to placing the implant. The graft holds the volume of the space left by the tooth while the natural bone has a chance to fill the space with live bone.
Depending on the size of tooth, that was extracted, a bone graft may require between 3-6 months before an implant can be placed.
The material used most often for oral bone grafts is bovine bone (cow bone) that has been sterilized and is comprised only of the mineral content of the natural bone. This avoids the harvesting of the patient’s own bone as it was done in the past.

FREQUENTLY ASKED QUESTION :
Q) What should I expect if my dentist and I decide dental implants are right for me ?
The placement of dental implants is a multi –step process that typically takes between 6 to 9 months to complete. It begins with a surgical procedure and titanium implant placed at where natural tooth root once was.
The gums are sutured shut over the implant and wait for several months while it heals and begins fusing with the surrounding bone.
After completion of the healing period, you ‘ll return to be fitted for permanent crowns.
Q) What type of post –treatment care will I require?
You’ll be sedated and\or aneasthetised for the duration of the treatment.
Some discomfort, including bruising and swelling following a dental implant procedure is quite normal. All are managed by medication prescribed by our dental surgeons.
You adviced to take soft foods, for approximately 2 weeks until the surgical site heals.
